帶狀皰疹 最難忍痛

作者:林政賢皮膚科診所/林政賢醫師
出處:2006/12/19 聯合報E4健康版
最後更新:2018/2/5
熬夜壓力大 水痘跑出來
急性神經痛 麻癢、撕裂般灼熱 痛到想跳樓
冬天是帶狀皰疹(皮蛇)好發季節。考試熬夜的學生、工作壓力大的上班族、或年紀大的老人家,常因免疫力暫時降低,讓體內的水痘病毒再度活躍而引發此病。
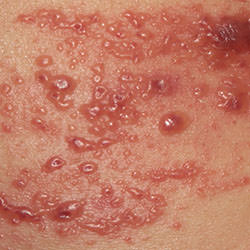
帶狀皰疹的典型症狀,可見到一群一群的水泡,沿著皮節排列於身體的單側(圖一)。但若發得很輕微,僅可見到一、兩群的斑塊或小丘疹,甚至連疹子都沒有,只有「抽痛」的感覺,造成診斷上的困難,也因此,帶狀皰疹常被當作偏頭痛、心絞痛、胃潰瘍、膽結石、腎結石、盲腸炎、下背痛、坐骨神經痛、肌肉痠痛,而延誤治療。
▼圖一:帶狀皰疹

▼頭部的帶狀皰疹(三叉神經第一分支)。發生在此處,在疹子還未發出前,容易誤以為是偏頭痛。

▼帶狀皰疹發生在腰部,容易被誤以為是膽結石、腎結石、胃潰瘍、盲腸炎等。水泡及膿皰都是常見的表現。

▼帶狀皰疹發生在臀部或大腿,容易被誤以為是坐骨神經痛或肌肉酸痛。若接近肛門或生殖器,甚至會影響排便、排尿。

治療依病程的不同階段,皮膚科醫師會處方不同的口服藥及外用藥。一般狀況下,水泡在十至十四天會結痂,傷口完全好則要三至四周。若水泡發作太厲害,或合併細菌感染,形成疤痕的機率就很高(圖二)。
▼圖二:帶狀皰疹

此外,帶狀皰疹最麻煩的,就是「疼痛」的問題。
帶狀皰疹的疼痛分兩個階段:
- 前驅痛、急性神經痛:在皮疹出現的幾天前及出現後,會有抽痛、刺痛、麻、癢、灼熱感或感覺異常。
- 皰疹後神經痛:持續而間歇性的灼熱感、割裂感或怪異痛覺。怪異痛覺是指皮膚上並沒有給予刺激,或是給予非疼痛性的刺激,但病患會產生劇烈的疼痛感。
六十歲以上老人家發帶狀皰疹後,約一半會有皰疹後神經痛,可持續數月,甚至一、兩年。曾有新聞報導,一老人家因無法忍受嚴重的皰疹後神經痛而跳樓自殺。
國內外研究證據顯示,愈早使用口服或注射抗病毒藥物,愈能減少水泡發作的嚴重程度、縮短病程及減低犂疹後神經痛的嚴重程度和持續時間。
抗病毒藥物在疹子發出來的72小時內使用,效果最好。不過,若病患在發疹的三天後,水泡仍不斷地快速增加,或病患年齡超過五十歲,嚴重疼痛,免疫力低下者,傷口容易留疤或有蟹足腫體質,或發生在臉部三叉神經(怕影響眼睛)或薦椎神經分布(怕影響排便)的皮節,仍可建議使用抗病毒藥。
至於疼痛,輕微時可給予一般口服非類固醇抗發炎藥。嚴重時,會用到管制的成癮性止痛劑、抗憂鬱藥物及抗癲癇藥物等。其他被報告過的方法,還有在皰疹後神經痛的階段給予靜脈注射及口服抗病毒藥物、肉毒桿菌素注射、辣椒膏、麻醉劑貼布、凝膠或乳霜、脊髓腔內注射類固醇、神經阻斷術等。
相關新聞:(本診所林政賢醫師接華視新聞專訪,解析有關帶狀皰疹)


